
Der Ultraschall in der Schwangerschaft ist ohne Risiken für Ihr Kind. Nach den Mutterschaftsrichtlinien ist drei mal eine Ultraschalluntersuchung zur Überwachung der kindlichen Entwicklung vorgesehen.
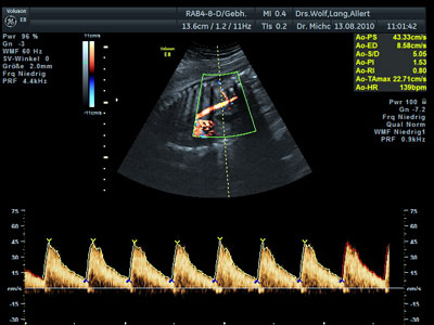
Mit Hilfe des Ultraschalls können eventuell vorhandene Entwicklungsstörungen und Fehlbildungen des Kindes frühzeitig erkannt werden und so rechtzeitig notwendige Therapien und erweiterte Diagnostik eingeleitet werden. Es lassen sich mit unseren modernsten Ultraschall-Geräten auch Doppler-Untersuchungen durchführen, die Hinweise auf eine Plazentafunktionsstörung geben können.
Auf Wunsch können wir Ihnen auch Sondertermine anbieten um einen 3D-Ultraschall durchzuführen. Dabei lässt sich Ihr Kind im Mutterleib realistisch darstellen.
Die Bilder können wir Ihnen im Anschluss auf eine CD brennen.
So erhalten Sie eine bleibende Erinnerung an Ihr Kind im Mutterleib.






| Frauenarztpraxis Dr. Allert | Dr. Röttgermann Promenade 1 D-88250 Weingarten |
Tel. 0751 . 53031 Fax 0751 . 553080 info@frauenarzt-weingarten.de |